Festsitzende Zahnspangen 
Brackets, Schaniere, Gaumenerweiterung …
Festsitzende Zahnspange
Für Korrekturen von Zahnfehlstellungen, die einer „echten“ körperlichen Zahnbewegung bedürfen, verwendet man festsitzende Zahnspangen. Eine „echte“ körperliche Zahnbewegung betrifft die Drehung von Zähnen, die Verlängerung und die Verkürzung von Zähnen, die Bewegung der Zähne in ihrer Zahnachse, die Bewegung der Zahnwurzel bei verlagerten Zähnen oder beim Lückenschluss. Die moderne festsitzende Zahnspange von heute unterscheidet sich von der althergebrachten Spange mit vielen Bändern und Stahlbögen. Heute finden vorrangig Minibrackets, Goldbrackets, Speed-Brackets, Lingualbrackets (an der Innenseite des Zahnes befestigt) oder zahnfarbene Brackets in Verbindung mit mehrfach verseilten getwisteten Drähten oder thermoelastischen Bögen mit Memoryeffekt aus einer hochwertigen Titanlegierung ihre Anwendung. Für Allergiker (Chrom, Nickel oder Kobalt) stehen Gold- und Keramikbrackets zur Auswahl.
Elemente und Kraftübertragung der festsitzenden Zahnspange
Diese besteht im Wesentlichen aus drei Bestandteilen, den Brackets, den Bändern und den kieferorthopädischen Bögen. Die Brackets sind Plättchen, die mit einem Fluorid freisetzenden Kunststoffkleber auf den Zahn geklebt werden. Das Fluorid dient zum Zahnschutz. In den Schlitz des Brackets wird der Drahtbogen eingelegt und am Bracket befestigt. Durch die Kraftwirkung des kieferorthopädischen Bogens werden die Zähne bewegt.
Ästhetische Brackets - zahnfarben
In der kieferorthopädischen Behandlung von Kindern bis zum Erwachsenen werden immer mehr durchsichtige Brackets gewünscht. Die weißen Brackets erfüllen den höheren ästhetischen Anspruch gegenüber den Metallbrackets. Sie sind daher optisch an den Zahn angeglichen, nicht so auffällig und besitzen daher einen besseren Tragekomfort. Keramikbrackets sind weiß und verfärben sich nicht. Sie sind in punkto Tragekomfort, Behandlungsdauer und Behandlungsergebnis qualitativ hochwertig. Die selbstligierenden Brackets werden über ein Clipsystem, weitere Brackets mit durchsichtigen Gummiligaturen oder weiß beschichteten Ligaturen am chromglänzenden oder ebenfalls weiß beschichteten Bogen befestigt. Somit ist die Zahnspange fast unsichtbar.
Intermaxilläre Scharniere zur Bissumstellung
Intermaxilläre Scharniere sind festsitzende Federn, die den Unterkiefer in die gewünschte Position bewegen sollen.
Sie werden verwendet, wenn der Unterkiefer gegenüber dem Oberkiefer zu weit hinten liegt und nur noch wenig Wachstumspotential zu erwarten ist.
Durch diese Therapie wird der Unterkiefer dauerhaft in einer Vorschublage gebracht. Die notwendige Behandlungszeit hierfür beträgt ca. 6-7 Monate.
Ziel der Therapie ist eine funktionelle Verbesserung (Abbeißfunktion, Lippenschluss, Kaudruckübertragung) unter gleichzeitiger Harmonisierung des Gesichtsprofils.
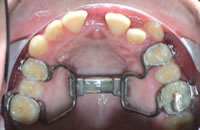
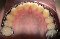
Gaumennahterweiterungsapparatur (GNE)
Die GNE dient zur Kiefererweiterung. Sie besteht aus 4 Bändern, die mit einer Schraube in Verbindung stehen. Mit einer GNE kann ein einseitiger oder beidseitiger Kreuzbiss innerhalb kürzester Zeit (2-3 Wochen) überstellt werden.
Des weiteren wird der Oberkiefer vergrößert und ein starker Platzmangel behoben, so dass eine Entfernung der Zähne vermieden werden kann.
Mit der GNE wird durch die Oberkiefererweiterung, die Verbreiterung und Durchlüftung der Nasennebenhöhlen gefördert und somit eine verbesserte Nasenatmung begünstigt.
Pendulum
Eine Pendulum-Apparatur sitzt fest im Mund. Sie besteht aus einer Kunststoffbasis, Feder- und Drahtelementen, ggf. einer Schraube sowie zwei Bändern.
Sie dient zur Rückbewegung der Molaren im Oberkiefer. Daher wird das Pendulum bei einem Platzmangel, bedingt durch die Aufwanderung der Seitenzähne, eingesetzt.
Mit dieser Apparatur kann ein Außenbogen vermieden werden.
Bracketumfeld-Versiegelung
Die meisten kennen die Versiegelung der zerklüfteten Fissuren und Grübchen im Molarenbereich von ihrem Hauszahnarzt. In der Kieferorthopädie wird die Versiegelung um das Bracket herum empfohlen, denn bei der Behandlung mit festsitzenden Zahnspangen entstehen viele Ecken und Nischen. Das sind ideale Nistplätze für Bakterien. Die Zahnpflege ist erschwert und erheblich aufwendiger.
Die Versiegelung ist ein wirksamer Schutz für den Zahnschmelz vor Säureangriffen der Bakterien und kein unnötiger Luxus. Allerdings ersetzt die Versiegelung nicht die tägliche Zahnreinigung und der Schutz lässt mit der Zeit nach.









